- 慢性根尖周炎[2015-06-07 17:28:44]、一般无明显的自觉症状,有的患牙咀嚼时有不适感。患牙有牙髓病史、反复肿痛史,或牙髓治疗史。、患牙可查及深龋洞或充填体,以及其他牙体硬组织疾患。、牙冠变色,探诊及牙髓活力测验无反应。、叩诊反应无明显异常或仅有不适感,一般不松动。、窦……[阅读]

- 牙周炎[2015-06-07 17:28:48]早期症状不明显,患者常只有继发性牙龈出血或口臭的表现,与龈炎症状相似。检查时可见龈缘、龈乳头和附着龈的肿胀、质松软,呈深红色或暗红色,探诊易出血。随着炎症的进一步扩散,出现下列症状:牙周袋形成由于炎症的扩展,牙周膜被破坏,牙槽骨逐……[阅读]

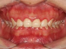
- 牙龈炎[2015-06-07 17:28:52]、牙龈出血:常为牙龈炎患者的主要自觉症状,多在刷牙或咬硬物时发生,偶也可有自发性出血。、牙龈颜色:正常牙龈呈粉红色,患龈缘炎时游离龈和龈乳头变为深红或暗红色,这是由于牙龈结缔组织内血管充血、增生所致。、牙龈外形:正常牙龈应为菲薄而……[阅读]

- 牙龈出血[2015-06-07 17:28:56]牙龈出血可分为被动性出血和主动性出血(自发出血)。一、被动性出血:主要表现为在刷牙、进食、吸吮时,牙龈的毛细血管破裂出现渗血,血量少,多在唾液中可见有血丝或所吃食物上及牙刷毛中有血液染色,经过冷水含漱后可自行停止。二、主动性出血(……[阅读]























深圳市福田区红荔西路第壹世界广场A座14楼14B-C 518034
0755-83788869 15768773931
15768773931
075583788869
2280633310
ancher@163.com